【知识库】氟斑牙解剖日记
从“黑牙村”走起
走进福建省安溪县城厢镇光德村,你会发现一个奇怪的现象,这里20-50岁的村民,大都“不苟言笑”,让他们难以“启齿”的原因是同一个——牙齿黑黄。这种现象,在当地上百年前就有了,该村也由此得名“黑牙村”。

经过水样调查化验后得知,村里的许多水井水氟含量过高。氟(fluorine)实际是一种人体必需的微量元素,它的作用是把双刃剑。如果人体缺少氟,就会出现龋齿,但当氟在人体内过多时,就会出现氟中毒,也会侵害牙齿,使牙变黄、变黑,称为“氟牙症”。
什么是氟牙症?
氟牙症(dental fluorosis)又称“斑釉牙”或“氟斑牙”。氟斑牙是地区性慢性氟中毒 (fluorosis)的一种突出症状,是牙齿发育时期人体摄入氟量过高所引起的特殊型牙齿釉质发育不全,临床主要表现为釉质出现着色的斑块和缺损。

氟斑牙的临床表现特点有哪些?
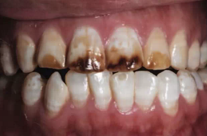
氟斑牙的临床表现特点是在同一时期萌出的釉质上有白垩色到褐色的斑块,严重者还并发有釉质的实质缺损。临床上常按其轻、中、重度而分为白垩型(轻度)、着色型(中度)和缺损型(重度)三种类型。
1.白垩型(轻度):有白垩色条纹或不规则散布的小面积不透明区,但整个面积不超过牙面的1/2。
2.着色型(中度):牙形态无变化,但上述所见常累及牙面全部,牙面有广泛着色,呈茶褐色。
3.缺损型(重度):釉质具有严重发育不全,常有表面形态的改变并伴广泛着色;其颜色可自棕色至灰黑色不等。
氟斑牙有哪些危害?
氟斑牙属于色素牙的一种,一般表现为牙齿呈黄色。它对身体产生危害的同时,更影响人面部美观,对个人形象会造成很大的影响,严重者甚至因为氟斑牙而影响到自信心及人际交往。所以对于氟斑牙,一定要引起重视并找到针对性的治疗方法。

如何治疗/修复氟牙症?
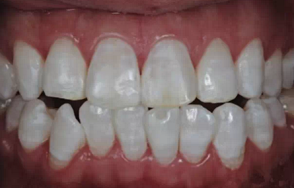
饮用水是摄入氟的一个最大来源,但为了达到治疗/修复氟牙症的目的,除了改良水源,适量摄氟以外,有轻度着色而无缺损的氟牙症患者可以采用漂白脱色法脱色进行牙齿治疗/修复;中度及重度染色或有缺损的患者可用美国皓齿的居家美白套装PF,Opalustre微研磨剂和Edelweiss激光树脂贴面等方法修复。
目前临治疗/修复中,比较常用到的还是Opalustre微研磨剂。
氟斑牙的美牙修复产品有哪些?
1.Opalsecence PF美国皓齿居家美白套装PF


2.Opalustre微研磨剂(微创)


3.美国皓齿Edelweiss激光树脂贴面(即将上市)

来源: 美国皓齿












