艾滋病早期重要症状:口腔的各种表现
2017年12月1日是世界艾滋病日,这个节日在告诫我们要关乎着艾滋病,做好艾滋病的预防。那么下面就带大家去了解一下艾滋病早期重要症状:口腔的各种表现的小常识。
艾滋病病毒感染者在发展为艾滋病之前的很长时间内无症状,其中绝大多数患者本人、家属及社会均不知其患病情况,但他们可以传播艾滋病病毒,如何早期发现和诊断艾滋病病毒感染者,是防止该病传播的重要途径。据国际上的研究和临床经验,
在艾滋病发病前1-4年内,患者可出现各种典型的口腔病损,艾滋病口腔表现被认为是早期诊断艾滋病的关键症状。那么,艾滋病的主要口腔表现有哪些?下面仅介绍几种最常见的口腔表征。
一、白色念珠菌病
白色念珠菌病是艾滋病最常见的口腔表征。在高危人群中如性乱行为、吸毒、静脉输血史者,口腔白色念珠菌病是以后发生艾滋病的先兆;如在无任何诱因的健康年轻人或**(指无放疗、化疗史,无长期用激素、抗生素史以及无其他免疫功能低下疾病者)口腔内患有口腔白色念珠菌病,特别是颊部的红斑型白色念珠菌病或咽部、软腭的假膜型白色念珠菌病,应高度警惕为艾滋病的口腔表征。

二、舌毛状白斑
毛状白斑现已被广泛认同是艾滋病感染者的一种特殊口腔损害,对艾滋病发生有高度提示性,其他疾病很少引起毛状白斑。

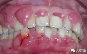
三、与艾滋病相关的牙周病
艾滋病感染者及艾滋病患者可出现一系列牙周组织疾病,常见的有:1、牙龈线形红斑:常表现为牙龈缘呈明显的火红色线状充血,界限清楚,可有自发性牙龈出血或刷牙后出血。口腔局部治疗无效。2、急性坏死性牙龈炎、牙周炎、坏死性口炎,短期内(4周内)出现牙龈溃疡、坏死,牙槽骨破坏,伴明显疼痛。
四、卡波西氏肉瘤
卡波西肉瘤也叫多发性、特发性、出血性肉瘤,肿瘤常见于头颈部和四肢皮肤,偶见于内脏。患者中有半数出现口腔病损,表现为无痛性、紫红色或紫褐色的、大小形状不一、扁平或隆起的病损。牙龈和硬软腭为好发部位。通常认为,在没有使用过免疫抑制剂的患者中出现卡波西肉瘤病损时,基本上可诊断是爱滋病。卡波西氏肉瘤是艾滋病患者最常见的肿瘤。

五、非何杰金氏淋巴瘤
红色或紫色肿块,固定而有弹性,常出现在牙龈、上腭和牙咽门。
六、艾滋病的其它口腔表征还有
单纯疱疹性口炎,带状疱疹病毒感染等。因此,对于那些有性乱行为史、吸毒史或静脉输血史的健康年轻人或**,如口腔内无明显诱因出现上述病变时,应及时到医院或检疫部门做HIV血清学筛选检查,以确认自己是否是艾滋病患者或病毒感染者,以便早期治疗,避免传染给家人或其他周围的人。














