CR粘结讲堂(3):为什么要使用牙本质粘结剂 科贸嘉友收录
CR临床观察
牙釉质与树脂的粘结是容易的而且可靠,还有强度高、使用时间长的优点。并且在上个世纪60年代就已经被证实了。而牙本质的粘结,则一直被研究人员所探寻,长久以来被认为是难以琢磨、难以预测的,也被很多厂商所夸大。体外实验经常会获得
非常良好的结果,而到了实际的临床应用层面则有很大的技术敏感性,牙本质粘结的持续效用也只能维持在很短的时限。本文给出了简化了牙本质粘结的理由,并坦率的承认:早几代的牙本质粘结剂(90年代之前的)也许比后面几代的粘结剂更加有
效。在忙碌的日常临床工作当中,对于牙本质的粘结推荐使用自酸蚀的方法。
50年的时间已经证实,与复合树脂的粘结前要使用磷酸进行酸蚀牙釉质,这项技术已经在牙科广泛普及。在相当长的一段时间当中,这几乎已经是不会再改变了。但是,复合树脂与牙本质的粘结的结果一直令人沮丧。牙本质粘结的历史一直争论激
烈,始终处于一种短期相对的可接受,但长期失败率很高的渺茫状态。在今天这个时间节点上,我们该如何看待牙本质粘结?
本文报告了对牙本质粘结剂的综述,总结了各“代”粘结剂的概念,并且基于科学研究和临床观察,客观的评价了这些粘结剂在牙本质粘结时的有用和无用之处。

图1

图2
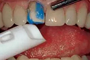
图(1)显示了预备后的瓷贴面,唇侧牙面只剩下了50%的牙釉质。首先使用磷酸酸蚀(皓齿公司产品,Ultraetch)),反复清洗,在整个预备体上使用自酸蚀处理剂。使得釉质被充分酸蚀而不造成牙本质的术后敏感。图(2)显示了最终的临床效果。
各代粘结剂的简介
下列关于各代粘结剂的简介,将帮助你了解你目前使用的是第几代粘结剂。未来要使用哪些粘结剂。第四到第七代粘结剂今天依然在临床中使用。
第一代:(1950年末到1970年末)没有牙本质酸蚀,使用化学成分,在玷污层有非常微弱的粘结力,效果很差。
第二代:(1970年末)没有牙本质粘结,玷污层粘结效果不确定而且非常容易断裂,水解和脱粘结的现象经常发生。
第三代:(1980年代)牙本质开始酸蚀,部分去除玷污层,与软化的玷污层向粘结,树脂不能深入玷污层。粘结剂分为三种组分,微弱或者中等的粘结力。
第四代:(1990年早期)牙本质需要被酸蚀,去除全部的玷污层,“湿粘结”开始出现,亲水性的处理剂渗透到开放的胶原形成混合层。最常用的产品是3M ESPE推出的Scotchbond Multipurpose由此带来了要如何界定“湿”和“干”这一挑战。如果这项技术可以充分完善,树脂帽可以封闭牙本质小管,技术敏感度高,在体外实验中有优秀的粘结力。
第五代:(1990年代中期)将处理剂与粘结剂合为一瓶,最常见的产品是登士柏公司的Prime and Bond由此时,某些自酸蚀系统进入到粘结市场,取得了成功,在体外实验中有相对较高的粘结力。
第六代:(1990年代末到21世纪初期)自酸蚀处理剂,常见的是两瓶装,最常用的品牌是可乐丽的Clearfil SE Bond术后敏感的现象几乎消失,临床医生中非常受欢迎,体外的牙本质粘结强度较高,与釉质粘结能力低于第四代或者第五代粘结剂。
第七代:(2002年至2009年)酸蚀,预处理和粘结混合于一瓶当中,有许多产品都非常有竞争力,简单易用,成膜厚度低,体外实验与牙釉质和牙本质的粘结力良好,但与釉质的粘结力弱于第四代或者第五代粘结剂。
总结目前临床应用的牙本质粘结剂:第四代到第七代粘结剂都在使用。目前,第六代自酸蚀粘结剂使用范围最广,因为几乎消除了术后敏感。从科学的视角来看,很多研究人员和学者更喜欢“全酸蚀”的第四代粘结剂。以为釉质的酸蚀更加完全,而
且有更高的釉质粘结强度。为了克服使用自酸蚀模式时较低的釉质粘结强度,许多厂家推荐将第六代粘结剂涂布在整个预备牙面之前,使用可控制的酸蚀剂酸蚀牙釉质
临床医生使用牙本质粘结剂的原因
过去几年,有数千位医生参加了CR的口腔医学新进展课程(Dentistry Update),被调查的医生描述了他们对期待牙本质粘结剂具有哪些特性。下面开出了清单,按照重要程度排序。这些意见基于口腔医生们的临床经历,概括了他们在牙本质粘结
这个还属未知领域所经历过的失败。
最感兴趣的特性
1.防止术后敏感
2.易用
3.可以在干燥或者湿润环境使用
感兴趣程度居中的特性
1.阻射性
2.可以接受的粘结强度
3.低的成膜厚度
4.对预备后的牙体进行封闭
很少或从未提及的特性
1.没有边缘变色
2.保质期内成分稳定
3.化学性预防
4.花费中等
CR的观察以及临床使用牙本质粘结剂时的一些建议
1.与牙本质的粘结,这只是理想的牙本质粘结剂的诸多特性之一。很多牙本质粘结的研究走向了这样的一条歧路:他们会假定与牙本质粘结的材料,都是条件都达到最理想的程度。事实上,现在使用粘结剂的理由有很多(上面的列表中提到)。
2.与牙本质的粘结效果非常难以预测,而且长期效果难以确定。与牙釉质粘结可以精确预测而且有良好的长期使用记录相反。牙本质的粘结的效果依然难以预料,即使是短期效果,在一些案例当中:比如瓷贴面全部与牙本质相粘结,产生的结果多种多样。
3.牙本质最佳的粘结模式依然有不小的争议。有些人并不同意对下列给出的建议,但是他们是基于对临床医生忙碌工作的观察和某些科研成果得出的结论,也代表了某种临床使用逻辑。
从一类洞到五类洞的直接修复,树脂粘结操作的一些建议
1.常规选择自酸蚀(第六代或者第七代)粘结剂,在逻辑上是合理的,并且没有技术敏感性。
2.如果想要最大的牙釉质粘结强度(比如:五类洞只剩下了切端的牙釉质,或者粘结瓷贴面时有大量的牙本质暴露,如第一页图1图2显示)。使用磷酸小心酸蚀牙釉质,然后快速重冲洗,提高牙釉质粘结力但不要酸蚀牙本质。
3.在涂布粘结剂之前,使用包含戊二醛成分的产品,比如GLUMA或者其他产品,可以减小或防止术后敏感。
4.在预备较深的情况下,常规使用树脂改良型玻璃离子(RMGI)垫底。比如在牙本质的最深处,在涂布牙本质处理剂之前,建议使用Vitrebond or Fuji Lining LC, 最高的垫底厚度为0.5 mm。
5.有些牙医在使用自酸蚀牙本质处理剂后,不使用RMGI(树脂改良型玻璃离子),而使用流体树脂进行代替。
粘固间接修复体时树脂水门汀的一些使用建议
1.当需要最高粘结强度时,使用能够树脂水门汀。大部分医生常规使用RMGI树脂改良型玻璃离子,而不是使用树脂。
2.CR的临床研究(Clinical Research Associates 1998;22(10):1-3)显示在使用树脂水门汀之前使用全酸蚀模式会造成大量的术后敏感。
粘固钱使用含有戊二醛的产品可以减小术后敏感。
1.被粘结的预备体牙面,如果主要由牙本质组成。此时推荐使用自酸蚀粘结剂,要么单独使用,要么涵盖在树脂水门汀的成分当中。
2.大部分常用的树脂水门汀都会提供单独的自酸蚀预处理剂(比如Kuraray公司的Panavia F, Vivadent-Ivoclar公司的Multilink Automix )
3.有很多品牌的树脂水门汀涵盖了自酸蚀预处理剂,也可以使用。比如3M ESPE的Relyx Unicem
CR结论:
本次CR报告将临床观察与科学研究有机的结合在了一起,显示使用牙本质粘结剂的主要原因不仅仅因为能够与牙本质进行粘结。当进行树脂直接充填,或者使用树脂水门汀进行间接修复时,使用牙本质粘结剂可以减小术后敏感。自酸蚀粘结剂,尽管
对釉质的粘结稍弱,但现如今依然是临床工作者的首选。因为他们的可预测性以及相对比较低的术后敏感度。谨慎的使用全酸蚀技术可以保证釉质具有极佳的长期粘结强度,而且与使用了自酸蚀系统的牙本质粘结强度相似。但术后敏感对于全酸蚀系
统来说是一个不可预测的挑战。牙本质粘结长期效果的可预测性还优待提高。
来源: CR中国 CR口腔产品临床测评报告
相关资讯
- 元旦与春节的区别
- 种植取模四手操作
- 种植取模四手操作
- 口腔儿牙早期矫治间隙管理.精确诊断.正畸技术11H-李明
- 种植取模小技巧
- 蒋大为《再见了大别山》
- 种植牙不是您想种马上就能种!做种植牙需要哪些前提条件呢?
- 如果半口/全口缺牙,也要一颗一颗种吗
- 丹巴拥忠《故乡之恋》
- 牙周宁片的功效与作用
推荐产品

- 德国DMG硅橡胶印模材料(重体)
- 德国DMG硅橡胶印模材料(重体)

- 宇森龋显光固化机DB-686
- 新款光固化机DB-686+龋齿探测两用机,全金属超小机身,机头可360度旋转,更贴切医生临床操作,让你一上手就舍不得放手,可拆卸电池也方便更换。

- Opalescence PF 皓齿家用美白剂
- 包装: 1.2ml 美白凝胶 8支 1.0OZ美白牙膏 1支 牙托盒 1个 美白色板 1张。关注产品











