胡常红:全口义齿的修复本科讲学教程(六)全口义齿的试戴、戴入、复诊及单颌全口义齿
本系列文章根据重庆医科大学修复专业副教授、硕士生导师、全口义齿学习讨论群群主胡常红医生十余年的全口义齿本科教育资料整理。在此感谢胡常红老师的无私分享。本系列欢迎分享、转载并注明来源及作者,严禁用作商业用途!
本教程共分六个部分:
(一)固位与印模模型
(二)颌位关系的记录与转移
(三)合架与颌位关系
(四)人工牙的排列
(五)平衡合
(六)全口义齿试戴到戴入
全口义齿制作流程
检查 /制定治疗计划---印模 /模型---求关系 /上牙合架---排牙 /调整平衡牙合---完成蜡型
试戴---制作完成---戴入---复诊修改
全口义齿的试戴
1 在牙合架上的检查
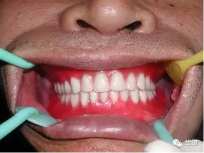
2 戴入患者口内的检查
1)检查基托
边缘伸展
是否稳定
2)检查排牙
美观
1, 牙列形态是否与牙弓形态一致?上下牙列是否整齐对称?中线是否居中?上下各牙长轴倾斜、转向是否自然?
2,人工牙是否形成良好牙弓曲线、纵牙合曲线、横牙合曲线?
功能
1, 牙合平面是否平分颌间距离?是否与牙槽嵴平行?两侧牙列牙合平面高度是否一致?
2, 人工牙是否位于牙槽嵴顶?尤其是上下后牙的功能尖?
3, 正中咬合时,前牙有浅的覆牙合覆盖关系,后牙有良好均衡的咬合接触;可调牙合架应检查前伸和侧向平衡牙合接触是否稳定


1)基托伸展情况及固位/稳定
2)美观性评价
3)颌位关系及咬合情况
4)发音是否清楚
1)基托伸展情况及固位/稳定
上下颌义齿戴入后,密合平稳,固位良好,取出时有吸附力
基托边缘:边缘伸展足够,让开系带及肌肉附着部位,以免因口腔功能活动时脱位
2)与患者达成共识的美观性评价
l唇颊的丰满度
l人工牙的大小、形态、颜色是否美观自然
l中线是否正确,两侧是否对称
l局部比例是否协调,面下1/3垂直距离是否过高或过低,正面、侧面观面形是否和谐自然
l牙合平面是否倾斜
l口腔功能状态下人工牙和基托的暴露是否合乎美学要求
3)颌位关系及咬合情况检查
检查颌位关系
咬合时有无垂直距离过高或过低,水平关系有无前伸、偏斜现象。颌位关系错误,需重新求取颌位关系
检查咬合情况
前牙、后牙位置是否适当
正中咬合、侧方咬合、前伸咬合时有无早接触和牙合障碍
后牙咬合时,义齿两侧咬合力应同等大小,基托保持稳定
如有差错,应重新调整
全口义齿制作过程
检查 /制定治疗计划
印模 /模型
求关系 /上牙合架
排牙 /调整平衡牙合
完成蜡型/试戴
装盒制作完成
戴入


全口义齿的戴入
义齿的查对和检查
义齿就位
义齿就位后的检查
医嘱
义齿的查对和检查
确认患者姓名与义齿制作卡上的一致,确认义齿组织面形态与患者颌弓的大小和形态一致
检查组织面有无多余的塑料结节
基托是否有影响义齿就位的倒凹
基托边缘是否锐利
有无气泡、石膏残渣以及其它缺陷
义齿就位

义齿就位后的检查

基托
牙列
基托
检查义齿固位和稳定
上下颌义齿戴入后,密合平稳,固位良好,取出时有吸附力
检查基托边缘及磨光面形态
基托边缘:边缘伸展足够,让开系带及肌肉附着部位,以免因口腔功能活动时脱位
牙列
美观性
检查颌位关系
调牙合

垂直距离:过高过低

水平关系:
下颌义齿后退
下颌义齿偏斜
前牙开牙合

选磨(调牙合):通过对正中咬合早接触点的调改,达到广泛均匀的接触,通过对侧方咬合、前伸咬合牙尖干扰的磨除,达到侧方与前伸的咬合平衡
l尽量不降低支持尖高度
l磨改时应同时观察上下颌印迹,每次均选磨单颌
l不要破坏尖窝沟嵴的正常形态
l先调正中牙合,再调侧方牙合和前伸牙合
l调磨正中牙合:磨除早接触,至后牙广泛均匀接触;
l调侧方牙合:调磨非支持尖上牙合干扰,至所有非支持尖都有接触;
l调前伸牙合:调磨前伸牙合时的牙合干扰,至有前伸平衡为止;
l修整



全口义齿患者戴牙须知
您的义齿是医生和技师精心设计和精湛技术的结晶。大多数患者至少需要三周才能学会使用全口义齿,一部分患者可能需要更长的时间来适应它。为了使您尽快掌握如何使用义齿并且最好的使用义齿,诚挚的请您采纳以下建议:
1、全口义齿并不是人的天然牙,请不要用前牙切咬食物,请将食物切成小块,慢慢咀嚼。在学习使用义齿期间,请您先避免咀嚼坚硬费嚼的食物和粘性食物。
2、如果您有前牙咀嚼或者单侧咀嚼的习惯,请一定要纠正,全口义齿需要您用两边的后牙同时咀嚼,这样才能获得最佳的咀嚼效果。
3、刚开始戴全口义齿,您可能会吐词不清、口水增多,没有关系,多加练习,大多数患者在几天后都能清晰地发音说话。
4、每顿饭后都要摘下义齿并清洗它,最好使用软毛牙刷蘸肥皂和冷水进行清洗。
5、睡觉前取下义齿清洗干净后在冷水中浸泡,防止义齿干燥变形。
6、戴用新义齿的时候有时会出现疼痛和溃疡,如果疼痛严重,暂时停戴义齿并尽快和您的医生联系,需要注意的是请您在就诊的前一天戴用义齿,这样医生能够更加准确的判断疼痛的原因。
7、请您不要尝试自己调改义齿。
(一)疼痛
(二)固位不良
(三)咬唇颊、咬舌
(四)咀嚼功能不良
原因 : 疼痛;固位不良;牙合面形态不良;垂直距离过低
基托的原因:
1. 基托组织面有塑料瘤子;
2. 与牙槽嵴骨尖、骨突相应的组织面未作缓冲;
3. 基托边缘过长、过锐;
4.印模、模型不准确;
咬合的原因:
5.颌位关系不正确:水平颌位关系不正确;垂直距离过高。
6.咬合不平衡,义齿不稳定:人工牙位置不正确;正中牙合时早接触;侧向或前伸牙合有牙合干扰;
原因:
1. 患者口腔条件差
2. 义齿制作不良:
(1)口腔处于休息状态时,义齿容易脱落(原因)
(2)义齿固位尚好,但张口、说话、打哈欠
时易于脱落(原因)
(3)固位尚好,但在咀嚼食物时容易脱落(原因)
原因:
1. 牙列缺失后唇颊内陷或舌体变大
2. 人工牙排列的覆盖过小或呈对刃牙合
3. 第二磨牙后的颌间距离过小而基托较厚,上下基托形成接触关系
复诊常见问题及处理
(一)疼痛
(二)固位不良
(三)咬唇颊、咬舌
(四)咀嚼功能不良
原因 : 疼痛;固位不良;牙合面形态不良;垂直距离过低
基托折裂和折断
人工牙折断或脱落
全口义齿重衬
重衬:
重衬前检查:颌位关系正确、咬合良好;粘膜无压痛及破溃。
重衬的方法:
a.直接法重衬
b.间接法重衬
c.自凝软衬材料重衬
l无牙颌的颌弓与对颌牙弓不协调
l天然牙列的牙合曲线难以符合全口义齿的平衡牙合要求,不利于全口义齿的稳定和固位
l天然牙和无牙颌的负荷能力相差较大
l患者保留对颌牙列容易保持原有咀嚼习惯
l 改善天然牙列的牙合曲线
l 排牙时,优先考虑单颌全口义齿的固位和稳定
l 减小牙合力
l 增强基托强度
单颌全口义齿的修复方法
-----上颌半口义齿
l调整下颌天然牙列过高过锐牙尖,必要的时候,可用高嵌体、牙合垫改善下颌牙合曲线。
l取功能性印模。
l排牙:前牙浅覆牙合,适当增大覆盖;后牙尽量排在牙槽嵴顶。
l加强上颌基托强度。
单颌全口义齿的修复方法
-----下颌半口义齿
l调整上颌天然牙列过高过锐牙尖,改善下颌牙合曲线。
l取功能性印模,使义齿边缘伸展到位。
l排牙:后牙尽量排在牙槽嵴顶,减数减径,减小侧向牙尖工作斜度。
l 牙槽嵴低平的患者,上颌余留牙严重不利于下颌义齿固位者,可考虑种植义齿的修复。
1.牙合学(教科书)
2.应用牙合学
3.临床牙合学----成功修复指导(谢秋菲)
4.实用牙合学(徐樱华)
5.功能牙合学
6.全口义齿原理与实践
7.总义齿与可摘局部义齿的设计(徐军)
8.全口义齿临床修复规范(吴国锋 张玉梅)
9.总义齿的牙合接触(徐军)
10.临床全口义齿复诊学(郭天文)
11.全口义齿教科书(Textbook of Complete Dentures)
12.BPS下颌吸附性义齿
13.初学者的总义齿制作方法
来源于齿道
相关资讯
推荐产品

- 宇森机扩C-SMART mini 带灯
- 宇森机扩C-SMART mini

- 宇森机扩C-SMART-1PILOT领航者
- 宇森新品机扩领航者C-SMART- 1PILOT震撼上市,超越想象的创新,难以置信的突破超大屏,真无线全功能手柄,操作更方便,300°旋转机头,无惧任何刁钻的角度。 科贸嘉友029-88651307












