乳牙不好,恒牙会好吗? 科贸嘉友收录
对于宝宝口腔健康这一块,新手父母大多都有痛并快乐着的经历,宝宝萌出了第一颗牙时的欣喜;意外发现宝宝牙齿变黄时的紧张;太多的细节需要注意,往往一不小心不是这里疼就是那里痒,真是吓死宝宝&粑粑麻麻们了。
口腔健康 全身健康
爱牙护齿 刻不容缓
让宝宝们从现在开始树立口腔保健的正确意识,
养成口腔清洁的好习惯,
无条件爱牙!

儿童常见牙齿问题
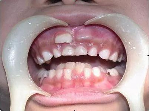
一、双排牙
“双排牙”最常见于下门牙。由于乳牙到了该脱落的时候不脱落,新长的恒牙多从乳牙的内侧或外侧萌出,形成两排,出现乳、恒牙并存的现象。宝宝在换牙过程中出现的这种情况医学上称为“乳牙滞留”。这种情况也常见于6岁左右的儿童,“双排牙”只要及时处理,拔除外面的乳牙,里面的恒牙会慢慢外移到正常的位置,不会造成牙齿不齐(前提是横向的位置足够)。但调查中我们发现相当多的小孩,恒牙已经在里面长的很高,外面的乳牙却未脱落,延误了最佳的拔牙时期,可能有造成牙齿不齐。
所以我们也提醒家长,最好能定期带孩子检查口腔,发现有双排牙要及时治疗。

那么,宝宝双排牙是怎样形成的?


二、蛀牙
一半以上接受调查的儿童有蛀牙,有过牙痛,但到医院治疗过的只占很少的一部分。这里再跟各位家长强调一下,乳牙蛀牙也要治疗。
许多人都认为,反正乳牙是要换的,补了也白补,蛀了掉了,新牙长出来不更好? 也有些家长对换牙不是很了解,以为小朋友六七岁开始就全部换完了,所以对四五岁时小朋友嘴里的蛀牙就不十分在意,导致小朋友刚上小学,牙齿就所剩无几了。
乳牙从宝宝6~7个月开始萌出,一直到12左右岁换牙完毕,一直陪伴宝宝成长,那么乳牙烂了会有什么后果呢?
影响咀嚼:俗话说牙好胃口就好,吃嘛嘛香。一口好乳牙对小朋友进食,摄取营养是十分重要的。很多小朋友因为蛀牙,一吃就痛,完全不能好好吃饭,或者过早地失去了乳磨牙,吃饭只能囫囵吞枣。长此以往,小朋友营养摄入就不能保证,咀嚼不充分还容易导致消化不良、肠胃不适,快乐的童年从此失去了吃东西的乐趣。
影响美观:小朋友的笑本来是最天真无邪的。但是如果前牙蛀了,一笑起来露出满口黑黑黄黄的牙齿,特别是因此而经常被取笑的小朋友,往往不敢开口笑,久了会产生自卑感,缺乏自信,影响孩子的心理健康。另外,单侧蛀牙的小朋友常常因为疼痛不敢用蛀牙吃饭,长此以往这一侧的骨头发育就会受影响,可能导致面部发育不对称。
影响发音:特别是门牙因为龋坏,过早缺失,就会导致小朋友说话“漏风”,口齿不清。
影响恒牙:一方面,因为蛀牙,小朋友口腔内食物残渣等脏东西不容易清洁干净,口腔卫生差,换句话说整个口腔是一个容易烂牙的环境,所以新长出来的恒牙就容易蛀牙。另一方面,每个乳牙下方都有一个恒牙在生长,等到乳牙瓜熟蒂落时,恒牙就会在乳牙原来的位置萌出。但是一旦乳牙蛀深了,引起下方牙槽骨的炎症,就有可能影响恒牙的发育,导致恒牙萌出后畸形、发育不良。也可能乳牙因为严重蛀牙过早的脱落,就会影响以后恒牙的萌出,导致恒牙不能萌出,或者萌出后排列不整齐等等。
影响全身健康:乳牙蛀牙如果长期不处理,特别是发展到牙龈长胞、流脓仍然不管不顾,那么在局部就形成了一个病灶,研究发现这些病灶可能引起一些严重的全身疾病,如肾炎、风湿病、血小板减少性紫癜等等。
所以说乳牙蛀牙不仅让宝宝受尽牙痛、牙龈长包化脓、不能好好吃饭的痛苦,还有很多可能影响宝宝今后健康的后遗症,可以说乳牙蛀牙带来的危害比恒牙蛀牙还大,所以我们也呼吁家长一定要重视孩子的乳牙,有蛀牙也要及时修补。
蛀牙科普篇
1、何为蛀牙?
“蛀牙”即我们医学上说的“龋齿”,是牙体硬组织逐渐被破坏的一种疾病,无自愈性。

2、蛀牙形成的原因
(1)细菌因素(2)食物因素(3)时间因素 (4)宿主因素

3、如何预防蛀牙---饮食篇:
(1)容易引起蛀牙的食物
糖分含量高且容易粘在牙齿上的食物尽量少吃或不吃!

碳酸饮料—尽量少喝碳酸饮料。可以使用吸管、快喝,喝后及时漱口,半小时后刷牙。

改掉睡前进食等不良习惯。

(2)可以保护牙齿的食物

新鲜的蔬菜、水果

坚果食品

奶酪、酸奶等乳制品
3、预防蛀牙从刷牙开始
(1)牙刷的选择,八字真经:
权威、软毛、小头、长柄。坚持一人一杯一刷。
选择宝宝喜欢的颜色、造型,提高刷牙的积极性

(2)正确的刷牙方法

4.预防蛀牙窝沟封闭
预防龋齿的最有效方法—窝沟封闭
最佳年龄:乳磨牙3-4岁 六龄齿6-7岁 第二恒
磨牙11-13岁

5.宝宝蛀牙早治疗
学龄前期,龋齿发病率高。定期口腔检查:每3-6个月检查一次,做到 早发现,早治疗。

来源:幸福口腔联盟
相关资讯
- 元旦与春节的区别
- 种植取模四手操作
- 种植取模四手操作
- 口腔儿牙早期矫治间隙管理.精确诊断.正畸技术11H-李明
- 种植取模小技巧
- 蒋大为《再见了大别山》
- 种植牙不是您想种马上就能种!做种植牙需要哪些前提条件呢?
- 如果半口/全口缺牙,也要一颗一颗种吗
- 丹巴拥忠《故乡之恋》
- 牙周宁片的功效与作用
推荐产品
- 左右转颈椎支撑仪
- 零售价:230元 品牌: 型号: 翊山牌爽肩宝按摩器 ,怎么缓解低头族颈椎病?低头族必备品。左右转颈椎支撑仪哪个牌子好?全国服务热线 029-88651307

- 科贸嘉友牙线棒(批发)
- 规格:通用型:50盒起订












