【文献精读】唇-齿-牙槽嵴分类:无牙颌上颌牙弓指南。诊断,风险评估及种植治疗指征
唇-齿-牙槽嵴分类:无牙颌上颌牙弓指南。诊断,风险评估及种植治疗指征
Adrien Pollini,Jack Goldberg,Ricardo Mitrani,Dean Morton
文献导读
伴随着人口老龄化,临床工作中遇到越来越多的无牙颌患者。无牙颌患者的牙槽嵴,周围黏膜,肌肉神经等随着时间的推移会发生改变,患者条件不一,增加了临床修复的难度。无牙颌的修复方案包括传统全口义齿和无牙颌种植修复两大类。本文针对唇-齿-牙槽嵴,描述了一种新型的分类系统,为上颌无牙颌固定或可摘修复治疗提供了临床指导,有助于帮助临床医生甄选最终的修复方案。
该翻译原文为The Lip-Tooth-Ridge Classification: A Guidepost for Edentulous Maxillary Arches. Diagnosis, Risk Assessment, and Implant Treatment Indications. 英文版权归原作者,中文翻译仅供学习参考。
引言
众所周知,上颌无牙颌的修复重建极具挑战,需要精心设计。这主要是由于解剖学特征,骨吸收模式,骨的质量,待修复问题的发生发展,口腔卫生条件的限制,说话过程中牙齿和硬组织的影响,和面部和牙齿美观修复的重要性。Zitzmann和Marinello回顾了文献后,提出了针对上颌无牙颌骨的种植修复指南。Simon和Raigrodski对剩余牙槽缺损类型进行了分类,并解决了对牙龈修复的需求。
Bidra和Agar6根据组织缺损量,前牙相对于剩余牙槽嵴的位置,唇支撑,微笑线,以及牙龈色的修复材料的需要,将患者归为四类。该分类专用于固定修复;因此,前牙的位置与患者牙槽嵴形貌有关。
本文旨在描述一种新的分类系统,即唇-齿-牙槽嵴(Lip-Tooth-Ridge, LTR),为上颌无牙颌固定或可摘修复治疗提供指南。这有助于帮助临床医生甄选最终修复方案,并且提供具体病例的风险评估指导。
分类因素
LTR分类基于上颌中切牙大小和位置,上颌唇大小和动力学,以及无牙颌牙槽嵴的结构三者之间的关系。
ICOI中国浙江种植读书会
牙齿位置
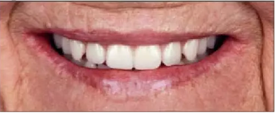
上颌切牙边缘位置被认为是任何上颌重建的起始点。其通过分析牙颌面美学,牙齿比例,语音,以及下唇的动力学来确定。此标记是确认咬合平面以及咬合垂直距离的关键。在正确放置上颌中切牙切缘后,其倾斜角度不应该根据任何相对的牙位设定,也不应与剩余牙槽嵴接触(文献中描述了义齿位置过于位于顶端和腭部时,导致令人不满意的,和充满人工感的美学效果)。上颌6颗前牙的颊舌向位置以及倾斜度应根据对面部微笑的评估来确定(图1)。

图1 前牙设计有着足够的中线位置,和谐的微笑线、下唇、以及唇间间隙
出于本文的目的,美学区定义为大笑时所示的可见区域,且患者与患者之间的差异很大。
在微笑设计过程中,下唇的曲度应用做确定上颌牙位置的解剖学参考。文献提供了大量关于中线位置及上唇和上颌牙齿顶点之间关系的临床指导。由于上颌牙槽嵴向上向内吸收,因此应注意评估后牙的位置并确保颊侧廊区的填充充分。
唇
上唇的位置是前牙美学中最重要的元素之一;其静态和动态的评估在决定患者的修复设计类型时发挥了关键作用。根据上唇的位置,Tjan等人19将患者的微笑分为高、中或低,其中,中和高对应了80%的人群。中微笑时,上唇向顶端移动(最大微笑)至上颌中切牙及尖牙的牙龈水平。除了摄影以外,视频的使用被证明能够更有效地捕捉最大程度笑容时下上唇的最顶端位置20。这种诊断工具证明了大量个体存在潜在风险,而当使用静态摄影时并不明显。
面部美学的另一个重要主观因素就是确认有足够的上唇支撑或者唇部凸度。唇凸出顶点与唇厚度、上颌牙槽突以及前牙提供的支撑有关。理想的唇部支撑是(主观)一个范围,并且其评估和感知受到许多因素的影响。此外,上颌切牙相对于冠状面的倾斜会影响唇部支撑。对此参数的评估会影响修复设计的选择,是否包括唇部延伸,也被称为flange. 应在静息状态和功能状态时评估整个轮廓和正面视图,并且与无flange的设计进行比较。厚唇型将克服临床医生选择的修复设计中许多的不足。因此,任何一位为薄上唇的患者应当被认为具有高美学风险,无论选择的是哪种修复类型。应该告知患者存在的解剖学上的限制,以便于在试验阶段作出令人接受的唇支撑的最终决定。
牙槽嵴
上颌牙完全拔除后,剩余牙槽嵴会发生垂直向和水平向的骨吸收。但是,这种吸收在全口义齿患者5年到25年都会发生。剩余牙槽嵴吸收在拔牙术后最初6个月变化最大,而后进入长期持续、稳定的吸收。如果在拔牙时进行了外科手术以保存或提高牙槽嵴的高度,并且没有可摘全口义齿磨损,则预计牙槽嵴的吸收量将显著减少。牙槽骨的骨水平以及待拔除的牙齿周围的颊侧骨板的状态同样也会影响拔牙后吸收的量。
换句话说,有上颌可摘全口义齿的患者并不一定意味着唇部修复延长是必须的。与此同时,可能没有足够的修复空间允许所有的修复设计方案。唇部支撑将受到牙槽嵴吸收的影响,不论其大小和缺失的牙齿结构。然而,这种支撑的缺乏并不一定与骨量是否可以用于种植体植入相关。
Milinkovic和Cordaro在最近的一项系统评价中证实,在覆盖义齿转为固定修复的情况下,提供唇部支撑,无牙颌患者的水平骨移植和Lefort手术(不论进行的外科手术过程)都会出现不可预测的结果。根据骨吸收量和所需的修复设计,剩余牙槽嵴的形状可能需要适当的修改以确保突出部分的轮廓,防止食物嵌塞并促进正确的口腔卫生的进行,实现可持续的口腔健康。
此分类背后的主要目标是为跨学科治疗团队提供有关患者情况,形象的和全面的视图。以此为基础,可对可用的修复方案和修复材料进行研究,而不是为所有患者提供一种修复方案。
LTR分类整合了两个基本过程。
第一个过程是将患者归类为4种可能的临床场景中,基于垂直方向牙槽嵴和牙齿之间硬组织和软组织的不足以及牙槽嵴和唇之间的水平方向(图2)。第二个过程包括对两个不同的方面进行风险评估。第一部分与美学风险相关,包括将唇动力学的相关性纳入决策过程。对于这种评估,应考虑两种情况:(1)唇部活动具有高美学风险(HER),以至于修复体和牙槽嵴间的过渡线暴露,以及(2)唇部动度不会暴露这样的过渡线(低美学风险【LER】)。
第二部分与结构风险有关。对于任何提供的修复设计,空间可利用度起到了重要作用。空间不足可导致生物力学的失败。在这里,两种临床情况应考虑:(1)高空间结构风险(HSR),当组分和材料所需空间不足时存在,以及(2)
低空间结构风险(LSR),当患者有适当的空间。

图2 LTR分类。上颌无牙颌情况相关的四种主要适应症的示意图,注意该分类基于牙槽嵴和唇之间水平向上,以及修复义齿和牙槽嵴水平向上的缺损。骨是否可用于种植体种植并不影响指征。
LTR分类
I类
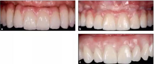
这种临床情况具备传统种植支持式“冠和桥”修复的理想条件。其特点是极少的组织缺损(上颌中切牙的颈缘直接从软组织出现,模拟牙支持式修复;不需要牙龈修复材料(图3)。这种种植体-支持式修复体通常使用金属-陶瓷,尽管也可以使用氧化锆(图3b)。足够的连接体的尺寸至关重要(根据所选择的保持类型,至少7到10毫米的垂直修复空间)。垂直修复空间由骨水平种植体平台延伸到修复咬合面。在上牙颌无牙的情况,多颗牙拔除后的愈合模式将导致平坦的骨嵴形态。扇形软组织轮廓的发展无法预测,骨和软组织增量技术的使用将为邻近区域提供次优的结果。
因此,实现牙齿结构和下方的软组织间和谐关系需要通过修复补偿制造一种错觉,例如长接触区域和/或牙龈三角区域的陶瓷特征。
对于I-LER类(I类-低美学风险),牙间乳头的管理依然是一个挑战,因为87%的低唇线患者在大笑过程中依然会露出牙间乳头(图4)。
相反,I-HER(I类-高美学风险)由于更多的软组织的暴露,美学风险大大增加。应进行足够的软组织修饰,在某些情况下,可使用牙间牙龈修复材料(图4)。


图4 I-LER类和I-HER类。注意在大笑时,HER类患者的唇线在修复体/牙槽嵴移行处上方。
II类
此类临床情况包括上颌中切牙颈缘和牙槽嵴之间较大的垂直缺损,并且需要粉色的修复材料(陶瓷,复合材料或者丙烯酸)。此类修复体可用金属-陶瓷(图5a),氧化锆-陶瓷(图5b),或者金属-丙烯酸(图5c)。金属-陶瓷和氧化锆-陶瓷的设计需要在后牙区域平均8到12毫米,金属-丙烯酸则需要13-15毫米。II-HER类(II类-高美学风险)(图6)代表一类美学风险,因为修复体和剩余牙槽嵴的衔接部分需要在大笑的时候藏在上唇位置。这需要精确的术前设计和手术模版以确保进行适当的骨减少。
如果解剖结构限制了修复/美学需要的骨移除,则需要考虑另一种设计方案,例如远端倾斜种植体,有选择的种植体分布,或者使用颧骨种植体,以绕过解剖学限制和/或种植骨量不充足。

图5 固定修复以及粉色修复材料。(a)金属-陶瓷。(b)氧化锆-陶瓷。(c)金属-聚丙烯。

图6 II-LER类和II-HER类。注意在大笑时,HER类患者的唇线在修复体/牙槽嵴移行处上方。
III类
这种临床情况代表组织不足,主要是水平成分,引起的唇支撑不足(图2)。因此,它保证了可摘修复包括唇部延伸(flange)的治疗。这种修复体(覆盖义齿)可以通过套筒冠(图7a)或者Locator附着体(图7b)保留(Zest)。与I类相比,这种修复设计所需的最小垂直空间更大,根据所选系统,范围从11到12毫米。由于垂直空间的限制,在这种临床情况下不建议使用杆卡式覆盖义齿。
虽然可以通骨切除术将III类转为IV类,但在骨量减少不可行的情况下,解剖学限制,例如鼻底和/或鼻窦都应该考虑到。有限的垂直空间排除了固定可拆修复体的使用。如果使用这样的修复设计,会造成修复体结构上的薄弱并最终导致生物机械并发症。



图7 覆盖义齿保留通过(a)套筒冠附着体,(b)Locator附着体,(c)支撑杆。
IV类
这种临床情况包括大量的剩余缺损(垂直和水平成分),伴随不充分的唇支撑(图2),使用带有唇部延展(flange)的可摘修复义齿,并可选择使用上述用于III类的修复设计或者杆卡式覆盖义齿(图7c)。如果该临床情况下使用固定可拆修复体,口腔卫生由于颊棚区会受到影响,且种植体的长期保存有一定风险,可能导致生物学并发症。
讨论
空间限制长期以来一直是牙科修复的一个难题。这种困境可以通过增加垂直高度或通过手术减少骨量来解决。值得注意的是这两种方法都具有局限性:美学上的,生物学上的,和/或者结构上的。
通过骨移除创造合适的空间是常规操作,但仍然应该仔细检查。以为某修复设计提供充足的空间为名义,移除健康的硬组织所带来的高生物学成本,应该充分向患者解释并得到理解。
术前评估患者的现有状况应是综合的。通过这样做,跨学科治疗团队可以根据患者特定的解剖学特征,客观地选择最佳和最保守的治疗选择。虽然调整这些特征以满足某一修复治疗方案可能会提供经济效益,但是在这过程中可能会造成很高的生物成本。
结论
该分类系统旨在为跨学科团队提供全面的图像化工具用于分辨患者情况和可能的解决方案。美学和功能性的风险之间没有等级差别,因为两者都可能导致不可逆转的失败。
来源;徐安恬 学牙网














