文献优秀正畸病例赏析--使用Hybrid快速扩弓器矫正安氏III类并远移上颌磨牙
文献优秀正畸病例赏析--使用Hybrid快速扩弓器矫正安氏III类并远移上颌磨牙

骨性安氏III类错合畸形在白种人中患病率约3-5%,但在中国及日本人群中患病率约14%。且在白种人群中,约1/3正畸正颌联合病例伴III类错合。前方牵引用于治疗青春期上颌后缩患者,但其易丧失支抗及导致前牙拥挤,尖牙的异位或阻生,使用种植钉能改善这种情况。
一、技术介绍:
前方牵引治疗通常与快速扩弓器联合使用以增加上颌突度,Hybrid Hyrax矫治器由Wilmes及其同事引入,需要两枚微种植体植入硬腭前部中央区域以在矢状向及横向增强支抗。较厚的软组织将其距离局限在5-10mm,置入时应与合平面垂直,而对骨量相对少的患者应使用更短的微种植体,约7-9mm长。
Wilmes及其同事同时研制出了Mentoplate钛板矫治器,用于压低切牙。其优势在于能用于年轻的安氏III类患者,由于其弹性牵引在口内,更易被患者接受,将上颌Hybrid Hyrax与下颌Mentoplate钛板相结合被称为Hybrid Hyrax Distalizer用于远移上磨牙。
二、病例
1.患者信息:
11岁女性患者,前牙反合,严重的安氏III类错合畸形,9mm上颌横向不调,上颌前磨牙及第一磨牙近中移位4mm导致双侧上尖牙异位及下切牙不齐。
临床检查:前牙功能异常导致CO-CR关系4mm不调(图1),上切牙内倾,安氏III类磨牙关系,右侧安氏III类尖牙关系,左侧安氏I类尖牙关系。反覆盖4mm,反覆合5mm,上下颌中线正,长面型,侧貌直(表1)。


2.治疗目标
在不将力直接作用于牙齿上保证尖牙顺利萌出下纠正安氏III类错合畸形;排齐整平上下牙弓;在避免过度切牙前倾下解决下前牙拥挤问题;建立安氏I类关系及正常和稳定的覆合覆盖。
3.治疗过程
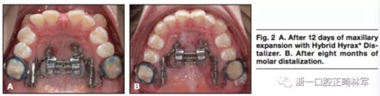
局麻下将两枚2mm*9mm的微种植体植入邻近腭中缝处。在上颌第一前磨牙处使用不锈钢丝。使用聚乙烯硅氧烷上颌取模以制造Hybrid。局麻下翻开粘骨膜瓣使用4枚皮质钉以在下颌前牙放置钛板。通过转动矢状向的螺钉90°4次以激活扩弓器,0.2mm每次,0.8mm每天。钛板使用皮筋在两侧直接加400g前牵力。12天后,上颌前磨牙间横向宽度增加到9mm。(图2,A)矢状螺钉在磨牙远移阶段固定,每周激活双侧远移螺钉(0.2mm每周)。8个月后磨牙远移4mm(图2B),该阶段继续挂皮筋。

使用2×4部分固定矫治器及0.016×0.22TMA† 及0.016×0.022前牙段不锈钢丝(图3)。

5个月后使用全口固定矫治器。拔除左下中切牙以调节下颌牙弓不调后所有牙使用方丝弓矫治器,上颌使用0.014镍钛丝,下颌使用0.016SPEED超弹镍钛丝,同时继续挂皮筋。针对矫正安氏III关系的治疗用了19个月,之后手术移除钛板。
使用改良Quad-Helix矫治器以保持及调整横向宽度,同时排齐上第二磨牙段。在磨牙腭侧连接附件并使用弹性圈与矫治器相连接(图4)。0.016×0.022 麻花丝用于最后精调,在前磨牙及尖牙区域使用三角弹性牵。

固定矫治阶段13个月结束,下颌使用3-3舌侧矫治器,使用活动Andresen保持器在晚上佩戴以防止安氏III类错合畸形复发。
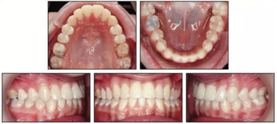
治疗结束后,患者双侧达到安氏I类关系,正常的覆合覆盖及接近理想的前牙轴倾度。头侧结果再次确认了通过上颌伸长安氏III已得到矫正,SNA从73.1°增大到78.1°(表1)。上颌前磨牙间宽度增加了约9mm。下颌MP-PP角减小了4.9°,面型接近中等面型。
患者继续佩戴活动保持器,治疗后13月随访提示其仍处于一个稳定的咬合关系。(图5)



三、讨论
前腭部由于其较高的骨质,较薄的软组织覆盖及对牙齿及根尖较小的干扰为较大的种植体提供了一个稳定的植入位点。Hybrid与Mentoplate结合能够用于严重安氏III类的治疗,由于其前牵力在口内提供也相对美观。矢状向力直接作用于鼻上颌复合体,几乎观察不到支抗丧失现象。快速扩弓的横向力由前面的种植体提供因此离鼻上颌复合体的阻抗中心点很近,上磨牙远移也使用同一种矫治器。该患者使用Mentoplate进行颌间牵引引起了Wits值极大地改善(约6.3mm)。
来源:浙一口腔正畸林军











