牙齿松动是怎么回事?该怎么办? 科贸嘉友收录
很多人在后台反应自己的牙齿莫名其妙有松动的迹象,不明白这是怎么回事呢?感到很害怕。对此,小编给大家做个详细的解答。
牙齿是我们身上的不可再生资源,很多人到了中老年甚至青年就出现了牙齿松动现象,牙齿松动会导致咀嚼功能降低,食物嵌在牙缝里进一步导致牙周病的发生等症状,所以牙齿松动必须及早治疗。
是什么导致牙齿松动?
牙周炎引起的牙周病
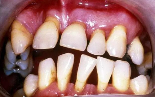
牙周炎是一种慢性进行性的疾病,主要是牙周支持组织的慢性炎症,在疾病的早期并不会引起牙齿松动,但随着炎症的加深,支撑牙齿的牙槽骨会被破坏,牙周病也进入了中期阶段。这时牙龈会萎缩,开始松软,牙齿开始松动。
到了牙周病重度期,牙槽骨几乎全部消失,牙根会露出大部分,牙齿会异常松动,此时疼痛感强烈,难以咀嚼食物。

另外还有咬合不良和意外事故所造成的牙齿松动。
牙齿松动有哪些危害?
01、咀嚼功能减退
牙齿松动后,无法承受正常的咀嚼力,唾液分泌减少,胃肠蠕动减慢,未嚼碎的食物进入胃肠,胃肠系统的负担随之加重,从而导致胃肠功能紊乱,影响人体对营养成分的吸收。
02、有伤邻牙
牙齿承受的咀嚼力是有一定限度的,当个别牙齿缺失后,咀嚼力集中在余留牙上,由于咀嚼力超过了余留牙的承受限度,致使余留牙齿造成创伤而产生牙周膜水肿、牙龈萎缩、牙槽骨吸收、牙齿松动等牙周疾患。

03、食物嵌塞导致牙周病
牙齿松动导致牙空隙相应变大,咬合关系和牙齿排列出现错乱,致使剩余牙齿失去正常的邻接关系,造成食物嵌塞,进一步导致牙周病。

牙周病示意图
1、早期牙齿松动治疗
早期牙齿松动,主要是进行牙齿的洁治、龈下刮治去除牙齿周围的牙石、菌斑等引起炎症的东西,以减轻牙齿周围的炎症。

洁牙前后对比图
2、晚期牙齿松动治疗
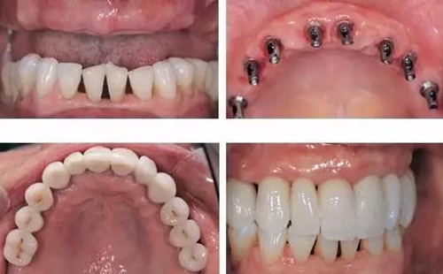
牙槽骨进一步破坏,牙齿会非常松动,这时候为了保护邻牙和防止牙周病进一步入侵,建议进行拔牙,拔牙后可进行缺失牙修复。根据患者详细情况可以进行活动义齿、烤瓷牙和种植牙修复。
种植牙修复是目前最受欢迎的修复方式

种植牙修复是通过医学方式,将与人体骨质兼容性高的纯钛金属经过精密的设计,制造成类似牙根的圆柱体或其他形状,以外科小手术的方式植入缺牙区的牙槽骨内,经过1-3个月后,当人工牙根与牙槽骨密合后,再在人工牙根上制作烤瓷、全瓷牙冠。

德韩口腔植入的种植牙由于人工牙深植牙槽骨内,可承受正常的咀嚼力量,功能和美观上几乎和自然牙一样,因此,被称为人类的第三副牙齿。

来源: 中国口腔网
相关资讯
- 元旦与春节的区别
- 种植取模四手操作
- 种植取模四手操作
- 口腔儿牙早期矫治间隙管理.精确诊断.正畸技术11H-李明
- 种植取模小技巧
- 蒋大为《再见了大别山》
- 种植牙不是您想种马上就能种!做种植牙需要哪些前提条件呢?
- 如果半口/全口缺牙,也要一颗一颗种吗
- 丹巴拥忠《故乡之恋》
- 牙周宁片的功效与作用
推荐产品
- 左右转颈椎支撑仪
- 零售价:230元 品牌: 型号: 翊山牌爽肩宝按摩器 ,怎么缓解低头族颈椎病?低头族必备品。左右转颈椎支撑仪哪个牌子好?全国服务热线 029-88651307

- 科贸嘉友牙线棒(批发)
- 规格:通用型:50盒起订












