【牙医学堂】间隙保持器的介绍
作者:钟永荣 南方医科大学口腔医院(广东省口腔医院)儿童口腔科
间隙保持器
间隙保持器是指儿童牙齿在早失后,这时候我们为了保持这个空缺就要给儿童做一个间隙保持起来维持正常的生理间隙,为了防止邻牙向丧失部位倾斜和对颌牙伸长的一种装置,它是用来保持早失牙齿在牙列中的近远中和垂直的间隙,保持继承恒牙的正常萌出。
佩戴间隙保持器的目的
是为了保持一个间隙使得后续的恒牙有足够的空间萌出。乳牙对于牙齿、颌骨以及肌肉的发育至关重要,乳牙不仅仅是用来咀嚼食物的,每个乳牙都对相应的恒牙起引导作用。如果乳牙过早缺失,恒牙没有了乳牙的引导,会发生移动或错误地萌出
正常情况下,大多数牙齿在牙根发育至2/3时才萌出。术前常规拍摄X 光片,了解恒牙胚的发育情况,推测恒牙的萌出时间。如继承恒牙不能在近期内萌出者,应尽快制戴保持器。但并非所有的乳牙早失都需要戴间隙保持器。一般而言,乳前牙早失,牙间隙变化不大时,不必戴间隙保持器;但从美观、发音等角度考虑,也可戴可摘式保持器。
间隙保持器的种类
间隙保持器由不锈钢和(或)塑料制成。分为活动式和固定式(粘在儿童口内)间隙保持器。乳磨牙早失者,可根据情况选择丝圈式保持器、舌弓保持器、Nance 弓保持器或者可摘义齿保持器等。

注:图片来源于网络
活动式功能性间隙保持器:类似局部义齿。用人工牙或是树脂块填补空隙,维持空隙的空间。这种保持器用于缺隙影响美观的患者。适用于年龄稍大的能密切合作的儿童

单侧第一乳磨牙早失

藻酸盐取模型,送加技工加工中心行间隙保持器制作

带环丝圈式保持器

试戴合适后用玻璃离子粘接,粘接后注意检查是否有咬合高点
全冠或带环丝圈式保持器:由不锈钢丝制成,靠一个戴在缺隙旁边牙齿上的牙冠或是带环固定。钢丝与带环或全冠连接,沿着空隙的两侧延伸到另一颗牙齿上,这样就能起到保持间隙的作用。使得恒牙有足够的间隙长出而不发生拥挤。
待恒牙初萌,且x线片发现恒牙的牙根发育超过一半时,可拆除保持器;如恒牙初萌,但x线片发现恒牙的牙根发育不足一半时,可暂时保留丝圈保持器,用作恒牙阻萌器,防止恒牙过早萌出。
丝圈式保持器适用于以下三种情况:单侧第一乳磨牙早失;第一恒磨牙萌出后,第二乳磨牙单侧早失;双侧乳磨牙早失,用其他间隙保持器困难者。

注:图片来源于网络
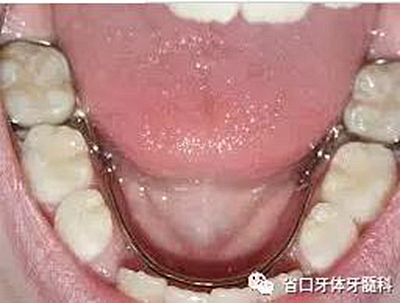
舌弓式间隙保持器:用于下牙左右两侧都有缺牙的情况,"舌侧"是指牙齿靠近舌头的那面。这种保持器的两端固定在两侧缺失牙后方的牙齿上,一个弓丝沿着下牙的内侧连接两段的带环。

注:图片来源于网络
Nance弓(腭弓)式间隙保持器:是与舌弓式对应的应用于上牙需要间隙保持的部位。


注:图片来源于网络
远中导板式间隙保持器:是将导板插入牙龈中,主要用于孩子的六龄齿(最先长出的第一颗恒磨牙)还没有萌出,但是这个牙前面的乳牙缺失的情况。因为最后方的牙齿缺失,没有可以用来固定带环丝圈的牙齿,因此需要一个金属导板插入到牙龈中,防止间隙关闭。这种保持器需要经常检查并作出调整,防止阻挡下方恒牙的萌出。因此牙医们为了减少这种装置的使用,经常会尽可能保留乳牙,直到牙龈下方的恒牙已经发育到可以萌出。
间隙保持器应具备的条件
①能保持间隙的近远中距离,防止对合牙过长,使继承恒牙顺利萌出
②不妨碍牙齿萌出及牙槽骨高度的增长
③不妨碍颌骨及牙弓的正常生长发育
④恢复咀嚼及发音功能
⑤维持正常的下颌运动和咬合关系
⑥不引起邻牙龋坏或牙周粘膜组织疾病
⑦不引起患儿口腔不良习惯和心理障碍
⑧制作简单,容易调整、修理,不易变形
⑨设计制作保持器应取得患儿及家长的理解和配合
间隙保持器的维护:
由于间隙保持器的使用者是正处于生长发育阶段的儿童,所以,定期让患儿去医院检查管理是非常必要的。原则上,患儿应每隔三个月到医院检查一次。
此外,使用保持器期间,还应注意以下几点:
1.是否舒适——有没有影响进食,有无损伤口腔黏膜。尤其是使用可摘式保持器时,一定要让患儿坚持戴。正常情况下,刚佩戴时可能感觉不舒服,但是几天之后孩子就能适应了,包括对于言语的影响也能在适应之后得到改善。间隙保持器应该佩戴至继承恒牙萌出。
2.有无异常——注意保持器是否脱落、松动、变形、损坏,出现异常应及时到医院处理。对于固定式间隙保持器,应避免吃糖或者口香糖,避免其粘在弓丝的上或者使带环松动。如果间隙保持器变松,就有误吞或将误吸入肺中的风险。而且,提醒孩子不要用舌头或手指顶或者摆弄间隙保持器,也有可能使它弯曲或松动。
3.注意卫生——戴保持器后,孩子口腔自洁能力下降,牙齿不易清洁,更容易患龋齿。因此,应该比平时更重视孩子的口腔卫生。对于活动式间隙保持器,更应定期清洗保持器,保证牙龈组织健康。
4.追踪观察——如果发现间隙中已有新的恒牙萌出,要及时到医院就诊检查,根据不同情况摘除保持器或者改用其他类型的保持器。
来源:普洁学习中心
相关资讯
- 元旦与春节的区别
- 种植取模四手操作
- 种植取模四手操作
- 口腔儿牙早期矫治间隙管理.精确诊断.正畸技术11H-李明
- 种植取模小技巧
- 蒋大为《再见了大别山》
- 种植牙不是您想种马上就能种!做种植牙需要哪些前提条件呢?
- 如果半口/全口缺牙,也要一颗一颗种吗
- 丹巴拥忠《故乡之恋》
- 牙周宁片的功效与作用
推荐产品

- 杭州旭飞正畸牵引圈批发
- 杭州旭飞正畸牵引圈批发牵引皮筋











